










|
© 2009 |

|
„KIRA“ ist eine 10-jährige Labrador-Hündin aus dem Gailtal. Aufgrund einer relativ rasch einsetzenden Schwäche und „Würgeanfälle“ wurde sie dem Haustierarzt vorgestellt. Dieser erhob folgende Befunde:
Tachykardie, Dyspnoe, schwacher Puls
Blut: Hypoproteinämie und Hypoalbuminämie |
|
Abdomen-Ultraschall: ggr. vergrößerte Leber und ggr. Aszites.
Eine Punktion der Abdominalflüssigkeit ergab ein zellarmes Transsudat mit einem Eiweißgehalt < 2,5 g/dl.
Die gestellten Differentialdiagnosen lauteten: · Aszites und Pleuralerguss aufgrund einer Hypoproteinämie · Herzerkrankung (Dilatative Kardiomyopathie, Trikuspidalinsuffizienz)
Da der Patient trotz Therapie mit Lanitop, Vetmedin und Lasix verfiel und kollabierte, wurde „Kira“ an mich überwiesen „um eine kardiogene Ursache im Endstadium definitiv zu bestätigen oder auszuschließen“.
Differentialdiagnostisch kommen hauptsächlich folgende Herz-bezogene Ursachen in Frage: · erworbene Trikuspidal-Insuffizienz oder –Stenose · angeborene Trikuspidal-Dysplasie (relativ häufig beim Labrador, bei ggr. Ausprägung treten Probleme oft erst im Alter auf) · DCM (dilatative Cardiomyopathie) · Tumore · Herzbeutelerguss · Dirofilariose (Herzwurm) · Hgr. pulmonale Hypertension zB. aufgrund einer Lungenembolie
Die Echokardiographie zeigte einen hgr. Perikard-Erguss mit Tamponade. Im folgenden Video ist der totale Kollaps des rechten Vorhofs gut zu sehen: |
|
Durch die Unfähigkeit des Atriums sich zu füllen, kam es zu den fatalen Stauungserscheinungen im großen Kreislauf. Da ein Tumor als Ursache nicht zu finden war, wurde der Herzbeutel unter Lokalanästhesie abgesaugt und mehrfach mit einer großlumigen Kanüle perforiert um eine zumindest mehrtägige Drainage in den Thorax zu gewährleisten. Bis auf die Entwässerung und einem Antibiotikum wurden die Herzmedikamente abgesetzt. „Kira“ erholte sich sehr rasch und eine Kontrolle nach 2 Tagen zeigte, dass lediglich eine minimale, nicht therapiewürdige Trikuspidal-Insuffizienz vorliegt, wie sie auch bei herzgesunden Hunden ab und zu vorkommt. Der Herzbeutel war nicht wieder flüssikeitsgefüllt und auch der Thoraxerguss ist stark zurückgegangen. Die Zytologie des blutigen Perikardergusses ergab keinen Aufschluss über die Ursache. Da auch eine Ultraschallkontrolle 3 Monate später keine Tumore aufzeigen konnte, lautet die Diagnose: Idiopathischer Perikarderguss: Diese Erkrankung kommt vorwiegend bei älteren Hunden großer Rassen vor. Die Ursache ist unbekannt und Rezidive können durchaus vorkommen. Auch 6 Monate danach ist „Kira“ laut Familie wieder „fit wie ein junger Hund“ und eine Pyometra-OP beim Haustierarzt hat sie sehr gut überstanden. |
|
Ebenfalls einen Herzbeutel-Erguss zeigte „WILLI“, ein Kater mit 15 Jahren, als er nach dem Auftreten von Schwäche und „Hecheln wie ein Hund“ von einer Klinik überwiesen wurde. Aufgrund mangelnder Kooperation wurde „Willi“ nach der Sono-Diagnose schlafen gelegt um 25 ml einer relativ klaren Flüssigkeit abzusaugen. |
|
Auf eine Therapie mit Dexamethason (und Antibiotika) erholte sich Willi rasch. (Im Gegensatz zum Hund sind idiopathische Ergüsse bei der Katze unbekannt). |
|
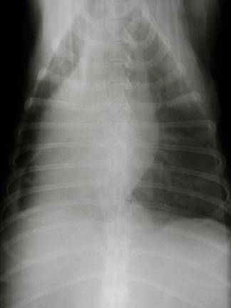
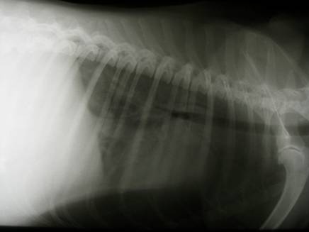
Röntgen: |
|
Fallbeispiele für Tierärzte |
|
Flüssigkeitsansammlung im Thorax (rote Pfeile) und vergrößerte Herzsilhouette |
|
Anhang zum gleichen Thema: |


|
Video: Punktion des Perikards |
|
Der sofort gemessene Eiweiß-Gehalt lag bei 5,9 g/dl und war ganz leicht fadenziehend: Hochverdächtig für FIP, umso überraschender die Antwort des Labors: |