






|
Herz-Ultraschall
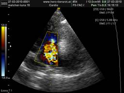
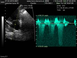
Der Herz-Ultraschall ist gerade in der Tiermedizin die zuverlässigste und aussagekräftigste Methode der Kardio-Diagnostik. Im Gegensatz zum Röntgen, welches nur die äußere Größe der Herzsilhouette beschreiben kann, ist es mit dem Ultraschall möglich zu unterscheiden, ob eine Herzvergrößerung durch eine krankhafte Muskelverdickung oder aber durch eine Herzüberdehnung bedingt ist. Der Ultraschall ermöglicht uns außerdem, direkt ins Innere des Organs zu blicken und jede einzelne der insgesamt vier Herzklappen darzustellen, sodass Klappen –Verengungen und –Verdickungen sowie undichte Klappen eindeutig erkennbar sind, was von enormer Wichtigkeit für die Wahl des richtigen Medikaments ist. Mit der hochmodernen Doppler-Sonographie werden schließlich noch die Stärken der einzelnen Blutströmungen gemessen, was für die endgültige Diagnose und für spätere Kontrollen von Bedeutung ist, um den Verlauf der Krankheit und den Therapie-Erfolg zu beurteilen.
|



|
© 2009 |

|
Obwohl der Herz-Ultraschall die mit Abstand beste Untersuchung vom Herzen ermöglicht und beliebig oft wiederholbar ist, ohne den Patienten einer Strahlenbelastung auszusetzen, bleibt sie aufgrund der hohen Geräte-Anschaffungskosten und der nötigen jahrelangen Erfahrung des Untersuchers nur wenigen Spezialisten vorbehalten. |

|
Fallbeispiele |
|
für Tierärzte |